
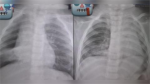
不只堅果危險!幼兒誤吸「吸管塑膠套」雙肺堵死 兒科醫:哈姆立克法也難救

想提神別猛灌「咖啡、能量飲」!營養師曝改吃「這食物」低負擔還穩情緒

她為養生天天吃堅果竟害毛囊發炎狂掉髮?營養師示警:這類人吃錯最危險

吃多也會胖!6健康食物是減脂陷阱 「這食物」最多人踩雷

阿嬤餵孫整顆花生「卡氣管3天長肉芽」!見「肺塌陷」險喪命⋯醫師發文怒斥

天天吃堅果竟無效!醫曝:對抗發炎幾乎沒幫助

過年狂吃堅果竟然會發炎?醫曝杏仁、腰果驚人比例:選錯種類恐傷身

血液中過多膽固醇將導致動脈阻塞 多吃8種食物可改善

防疫在家也要健康吃 簡易健腦食譜跟著做

靠飲食維持免疫力 醫學證實吃堅果、番茄有效
