
圖、文/品觀點
第九屆台灣醫療科技展12月4日起在南港展覽館登場,規模擴大至2100個攤位。台大醫院在展覽中發表AI口腔癌快篩系統,成為本屆醫療科技展焦點之一。
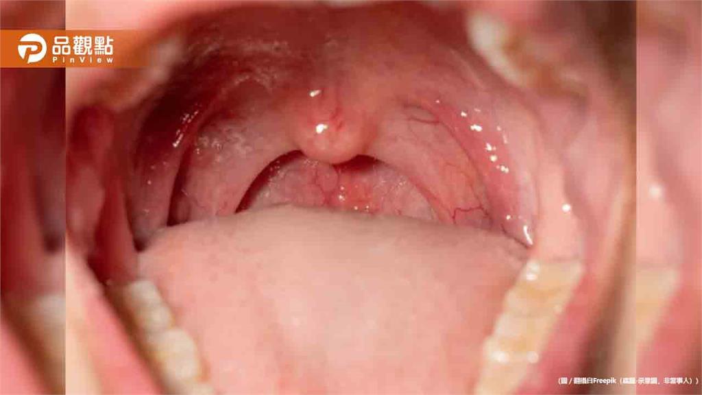
口腔癌為台灣男性惡性腫瘤發生率第四位,每年新增8000人,5年存活率不到3成。現行公費口腔癌篩檢是十大癌症中唯一採用目視進行初步判斷的癌種,且每2年進行一次,難以及時發現病灶。
台大醫學院放射線科主任陳世杰表示,口腔癌患者警覺性不高、診斷頻率不夠及時、具專科診斷能力的口腔外科醫師不多,導致患者發現時多已晚期。因此台大整合醫學影像、口腔醫學、生醫工程與AI專家,開發此套快篩系統。
該系統透過手機鏡頭拍攝各角度的口腔黏膜影像,2分鐘內即可偵測、分類和分析口腔癌及癌前病灶。診斷結果分為無燈無病灶、綠燈無風險、黃燈低風險、紅燈高風險四個等級,並給予進一步追蹤建議。綠燈者建議持續每6個月至牙醫洗牙檢查口腔,紅燈者需儘速一週內至牙醫檢查。
陳世杰說明,該AI快篩技術內含「MACA四大黑科技」,包括診所醫師用移動裝置下載APP即可使用、APP內建擴增實境引導線協助使用者對準口腔內特定部位、影像去識別化將經雲端運算、人工智慧會在20秒內分析完畢並將風險等級結果回傳至裝置上。
目前AI口腔癌快篩已有1600人使用,準確率高達95%。該技術已獲台大SPARK計畫、中研院傑出團隊、國科會創業卓越三冠王認證,預計2027年第一季廣泛應用於臨床。
此次醫療科技展匯聚國內外專業人士,包括台大醫院、北榮、長庚、馬偕、國泰、新光、亞東等各大醫院均展出創新研發成果。展覽分為醫療機構展區、智慧醫療展區、精準醫療展區等六大展區,吸引美國、加拿大、韓國、日本等國參展,共同探索醫療科技最新趨勢與未來方向。




