
四季線上/黃睿筌報導
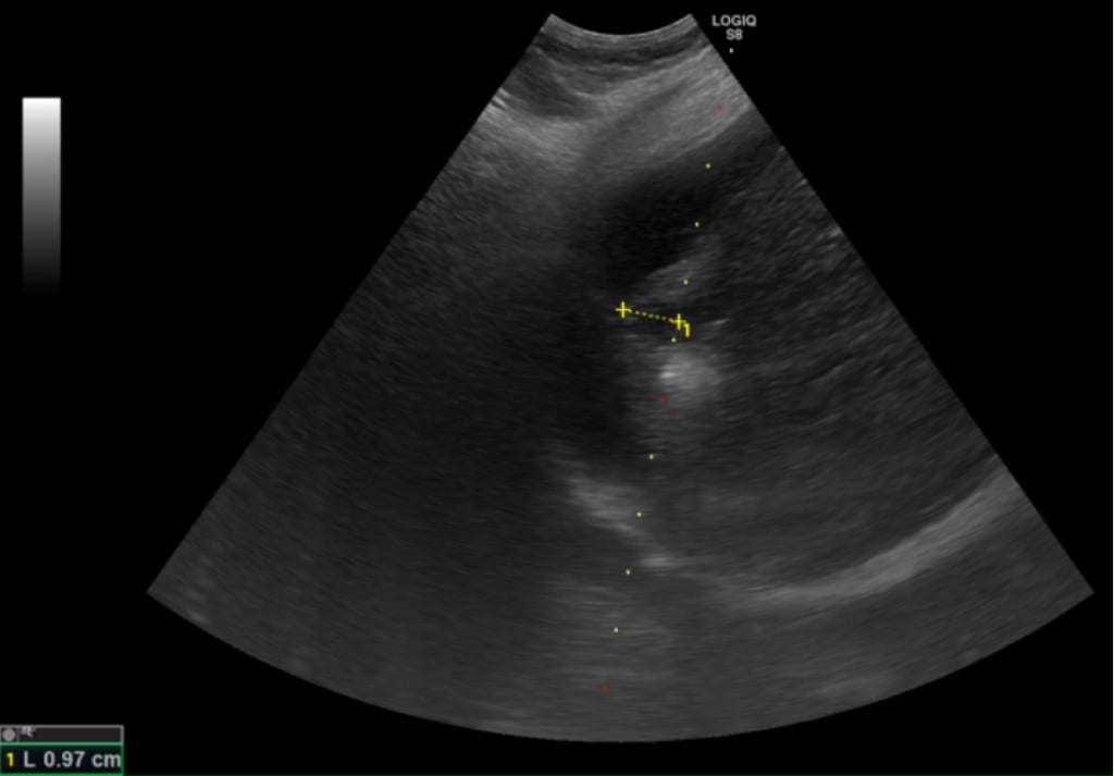
83歲的黃女士因身體不適到醫院就診,就診過程中意外發現肝功能異常,進一步檢查發現一顆約1.5公分的肝臟腫瘤,確診為第零期肝癌,同時也發現黃女士患有B型肝炎,卻因沒有症狀所以不曾進行相關治療。所幸發現及時,由胃腸肝膽科醫師鄭煜明執行電燒治療,術後三天黃女士順利出院,目前僅需定期追蹤避免復發。
四季線上/黃睿筌報導
83歲的黃女士因身體不適到醫院就診,就診過程中意外發現肝功能異常,進一步檢查發現一顆約1.5公分的肝臟腫瘤,確診為第零期肝癌,同時也發現黃女士患有B型肝炎,卻因沒有症狀所以不曾進行相關治療。所幸發現及時,由胃腸肝膽科醫師鄭煜明執行電燒治療,術後三天黃女士順利出院,目前僅需定期追蹤避免復發。
醫師鄭煜明指出,台灣肝癌的高危險族群主要與B、C型肝炎相關,B型肝炎約佔五成、C型肝炎約四成,其餘則與脂肪肝或酒精肝等有關。雖然隨著疫苗及抗病毒藥物的普及,肝癌整體發生率逐年下降,但一旦感染過B、C型肝炎,就有罹癌風險,且患者年齡層有增加趨勢。肝癌初期幾乎沒有症狀,隨病情惡化,若腫瘤壓迫到膽管可能出現黃疸,晚期則多發生轉移,導致肝衰竭、腹水、食慾下降與體重驟減,嚴重影響生活,因此及早發現與治療是重要關鍵。
根據臨床數據,零期肝癌治療後平均存活率超過10年以上,若延誤至第二期則縮短為約5年,第三期降至2.5年,若已轉移,存活時間僅剩半年。「在第零期使用電燒治療普遍可根治,不需要化療,已經有遠處轉移才會考慮使用免疫療法及標靶治療。」鄭煜明醫師解釋,電燒治療是透過超音波導引定位,使用電極產生電流,造成離子震動產生超過60度的熱能氣化腫瘤,比起手術能更完整保留健康的肝臟組織。

醫師鄭煜明進一步說明,肝癌患者平均5年的復發率高達七成,因此電燒治療對於可能復發,需要多次治療的患者而言更具優勢,且此療法住院時間短,通常三日左右即可出院。適應症方面,電燒治療適用於單顆或三顆以下、每顆腫瘤不超過三公分的個案,且腫瘤位置不能靠近心臟、肺臟等重要器官。治療前需評估凝血功能,若有凝血嚴重異常且無法透過治療矯正者,則不適用電燒治療。
醫師鄭煜明提醒,肝臟疾病通常在初期難以發現,容易錯過治療佳機,建議45歲以上民眾終生主動接受一次B、C型肝炎篩檢,若是B、C型肝炎帶原者更需定期追蹤,若有相關症狀才可及早以藥物控制或規律追蹤。他強調,日常生活要注意避免飲酒過量、控制體重、規律運動,避免攝取久放的食物或不明來源的中草藥以免增加肝臟負荷,用均衡飲食取代過度進補觀念,並接種B型肝炎疫苗,以降低罹癌機率。
📝【更多新聞】👉解婕翎自曝「無意識」暈倒兩次!醫籲:不明原因昏倒應檢查心腦功能
📺【FastTV飛速看】👉734 《醫學大聯盟》
▶️【好推薦】👉王思佳當媽後人生被孩子接管!田家達聚會聽育兒經插不上話!希希嘆同學聚會從追星變聊房價?
